The Complete Dental Care Centre is a premier, modern dental clinic located in the heart of Thane.
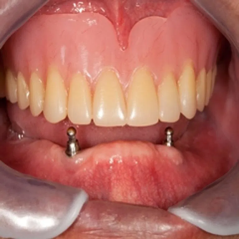
designed to offer top-quality, specialized dental services. Led by Dr. Jaideep Rananavare, a highly qualified Dental Implantologist and postgraduate in Hospital Administration, the clinic combines 22+ years of experience with cutting-edge technology to address complex dental needs. Dr. Rananavare has successfully performed numerous advanced implant cases, including one-day dental implants and treatments for patients with poor bone quality, making the clinic a trusted choice for both routine and specialized dental care.

Experience comfortable, affordable, and comprehensive dental care tailored to your needs.
Serve the community by improving the quality of life through better health. We have put protocols to protect our patients and staff while continuing to provide medically necessary care. Contact Us For More Information
Our administration and support staff all have exceptional people skills and trained to assist you with all medical enquiries.
Dental Implantologist post-graduation in Hospital Administrator.
Dr. Jaideep Rananavare is a highly experienced dental professional with over 26 years of clinical practice. He completed his Bachelor of Dental Surgery (BDS) from Nair Hospital Dental College (NHDC), Mumbai, in 2000, and also holds a PGDHA qualification from Mumbai.
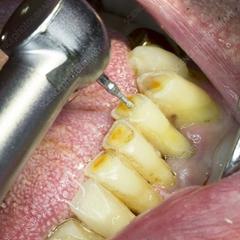
Advance Oral Implantology
Dr. Srushti Deore specializes in digital dentistry, utilizing the latest technology to provide precise, efficient, and comfortable treatments. Her approach combines clinical excellence with a gentle, patient-friendly manner, ensuring a positive dental experience for individuals of all ages.
Pediatric Dentistry
10+ years of exp in dentistry. Completed her BDS in 2015 & MDS in pediatric dentistry in 2021 (gold medalist) from DY Patil Navi Mumbai. Also a member of several international & national organisations (EAPD- European academy of pediatric dentistry, IAPD- international association of pediatric dentistry, ISPPD- Indian society of pediatric & preventive dentistry)
Conservative Dentistry and Endodontics
Andaloro graduated from medical school and completed 3 years residency program in pediatrics. She passed rigorous exams by the American Board of Pediatrics.